Effect of Seed Proteinaceous Extracts from Two Wheat Cultivars against Phthorimaea operculella (Lepidoptera: Gelechiidae) Digestive α-amylase and Protease Activities

Authors

Keywords:

α-amylase, protease, wheat, potato tuberworm

Abstract

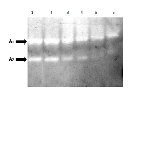
The potato tuberworm, Phthorimaea operculella (Zeller) is a worldwide pest of solanaceous crops. Larvae feed inside the galleries in foliage, stems and tubers which makes chemical control unsuccessful, and other control methods should be applied. In recent years many plants have received genes that encoding toxic proteins as a strategy to resist against insect pests. P. operculella is a solanaceous-specific pest and it has no evolutionary background with cereals. Therefore the goal of current study was to investigate the effect of wheat (Triticum aestivum L. cv. MV17 and cv. Azar) seed proteinaceous extract against digestive α-amylase and protease activities of potato tuberworm and was also to determinate the optimal pH of these enzymes using 1% starch and 2% azocasein as substrate, respectively. The optimum pH of α-amylase and protease activities was found to be highly alkaline. Enzyme inhibition assays showed that amylase activity was significantly affected by extracts from MV17 and Azar at different pH values and maximum effect was observed at pH 9. The inhibitory effect of MV17 and Azar extracts on protease activity did not markedly vary between pH 8 and 11 and among pH 8, 9, and 11, respectively. Inhibition manner of various concentrations (1.5, 0.75, 0.375, 0.187, and 0.093 (mg protein/ml) of extracts were dose-dependent. Maximum inhibitory effect occurred at the highest concentration and the minimum was at the lowest concentration. In polyacrylamide gel assay, both enzymes, without inhibitors showed two isozymes. At highest concentration of extracts, both bands disappeared or their intensity decreased. So, these proteins can be tested in producing resistant potato crops against potato tuberworm.

Downloads

Published

05.04.2017

Issue

Section

Journal of the Entomological Research Society

How to Cite

Effect of Seed Proteinaceous Extracts from Two Wheat Cultivars against Phthorimaea operculella (Lepidoptera: Gelechiidae) Digestive α-amylase and Protease Activities. (2017). Journal of the Entomological Research Society, 19(1), 71-80. https://www.entomol.org/journal/index.php/JERS/article/view/1075